元町駅前で夜20時まで診療する歯医者さん

〒650-0012 兵庫県神戸市中央区北長狭通4-2-1三和ビル2F
JR神戸線・阪神電車「元町」駅 徒歩30秒
神戸市歯周疾患検診指定医療機関・神戸市妊婦歯科健康診査指定医療機関
神戸市後期高齢者歯科健康診査指定医療機関・労災指定医療機関

診療時間
10:30~13:00 ×
14:30~20:00 ×

△:14:30〜17:00  *:往診
外来休診日:水曜日午後・木曜日・日曜日・祝日

ご予約・お問合せはこちら

078-331-0380

 当院における新型コロナウイルス感染症対策

 基本的に、普段から飛沫感染や血液感染に対する対策を徹底し診療しております。
 今回の、新型コロナウイルス感染症に対して以下の対策を追加しております。
・イオニアミストプロにより、院内全ての箇所を抗菌、抗ウイルス対策施しております。
・待合室や診療室での混雑緩和のために予約制限をさせていただいております。
・診療室だけではなく、待合室やお手洗いなど、利用者ごとに毎回消毒しております。
・院内の換気を空気清浄機などの空調機だけではなく、定期的に行っております。

 

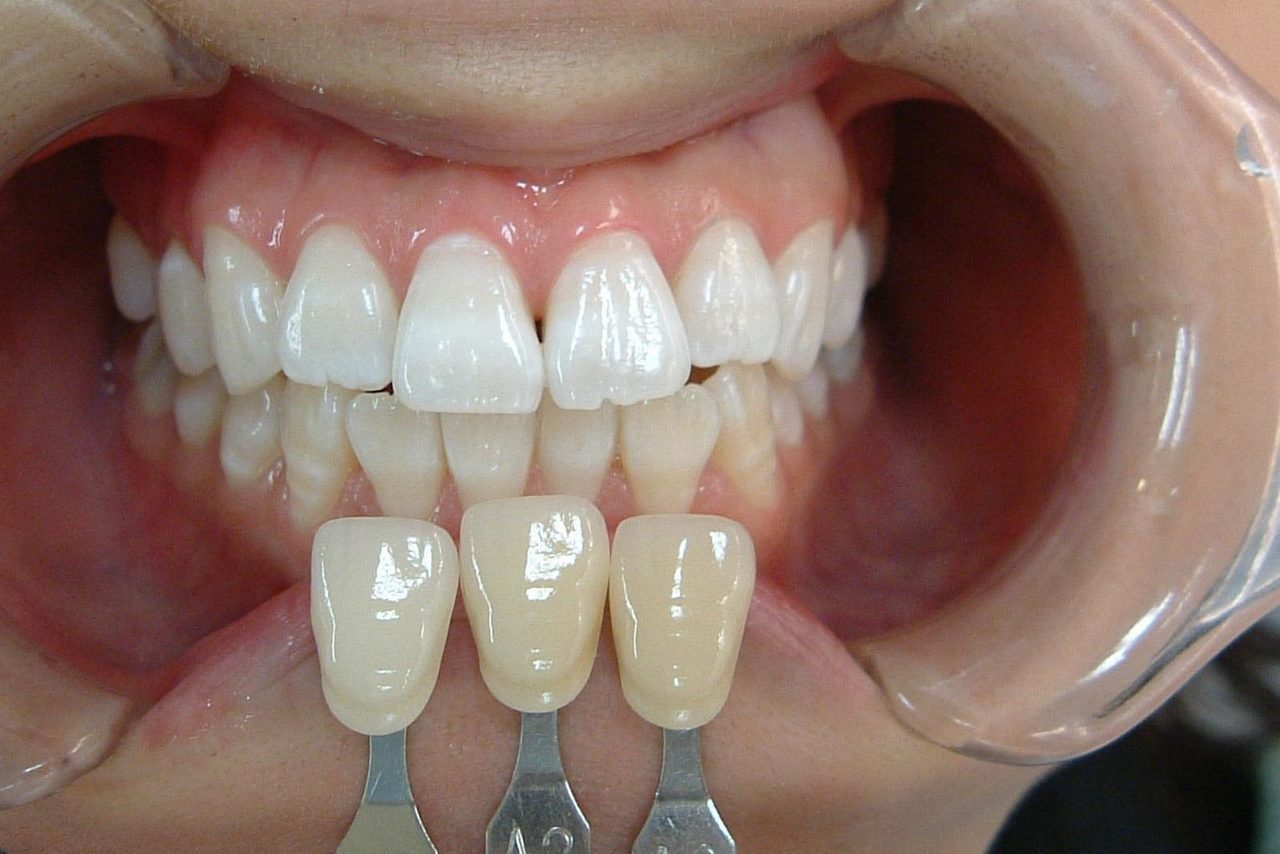
当院のホワイト二ング

※自費診療です

しみにくく手軽なホワイトニングで美しい歯に

当院の歯科医師はホワイトニングの経験が豊富です。そのため、より効果的に、自然な白さで美しい歯の色を実現することが可能です。22年以上(※)の経験と実績を活かし、患者さまに安心して治療を受けていただけるような取り組みを行っています。

当院は「デントレード」というホームホワイトニングシステムを採用しています。ホームホワイトニングとは、ご自宅で患者さまの手で実施できる、手軽なホワイトニング法です。歯科医院で歯型を取って専用のマウスピースを制作し、ご自宅ではそのマウスピースにホワイトニング用のお薬を流し込んで装着していただきます。オフィスホワイトニングという歯科医院で行うホワイトニングに比べしみにくく、白くなるまでに時間はかかりますが色の後戻りが少ないというメリットがあります。

お口の状態に合わせて薬剤を選定

デントレードには、薬剤に含まれている「過酸化水素」の濃度が数種類あります。過酸化水素は歯を白くする成分ですが、しみたり痛んだりしないよう、当院は患者さまごとに適した薬剤を選定しご提案しています。

歯を白くしたいけれど、ホワイトニングはしみたり痛みがあったりするのではないか。そのようなご不安で治療に踏み切れないでいた方は、ぜひお気軽にお試しください。

(※2019年現在)

リーズナブルなホワイトニング
ご満足いただけるまで継続できます

ホワイトニングの効果は、単に歯を白くすることだけではありません。美しい歯になることで口を開けて笑うことに抵抗がなくなり、自然と表情が豊かになっていくことが期待できます。

患者さまの笑顔が増えるならばそれが最も良いはず、という思いから、当院ではリーズナブルな価格でホワイトニングをご提供しています。

当院がおすすめしているホームホワイトニングは、ご自宅で好きなときに行えるものです。ホームホワイトニングの料金は、施術用のマウスピースと薬剤を合わせた額で設定しています。患者さまから、薬剤追加のお申し出があった場合でも、当院は追加の費用をいただいておりません。ご満足いただける白さになるまで、ホームホワイトニングを継続できるよう、応援して参ります。

ホームホワイトニング 23,000円(税別)

治療名:ホームホワイトニング
治療の説明:自宅で行うホワイトニング。歯科医院で専用マウスピースを作り、自宅にてそのマウスピースにホワイトニングの薬剤を流し込んで数時間装着します。
治療のリスクや副作用:歯に白斑(白いまだら模様)が出る可能性があります。痛みや知覚過敏が起きる可能性があります(数日で改善することがほどんどです)。歯ぐきが一部白くなる可能性があります(数日で改善することがほどんどです)。

ホワイトニングの流れ

お口の検査

お口の中を拝見し、ホワイトニングができる歯や歯ぐきの状態かを確認します。

マウスピースの作製

歯科医院で、ホームホワイトニング専用のマウスピースを作製します。

マウスピースの装着

ご自宅で、マウスピースにホワイトニングの薬剤を注入し、歯に装着していただきます。

場合により、オフィスホワイトニングを併用することも可能です。

施術のチェック

ご来院いただき、歯の色がどのくらい白くなっているかを確認します。

薬剤を追加する場合も、当院は追加の費用をいただいておりません。ご満足いただける白さになるまでしっかりサポートいたします。